上顎前突(case 5)
上の前歯が出ている(インビザライン)
当院での治療例紹介です。
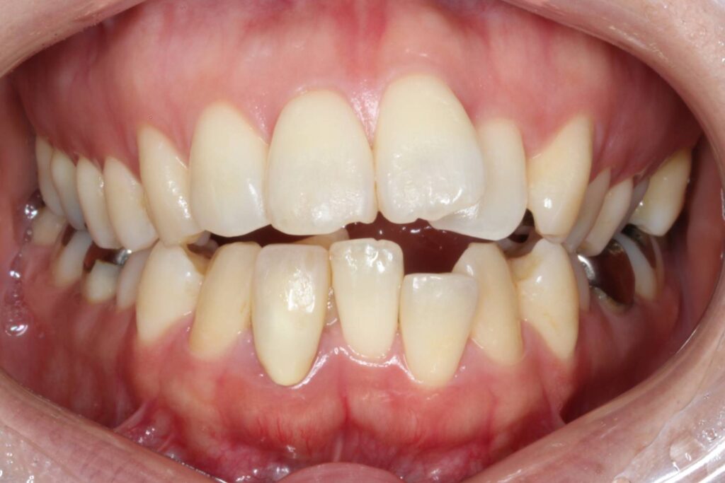
上の前歯が出ていること、前歯でものが噛み切れないことを治したいということで矯正治療を行いました。
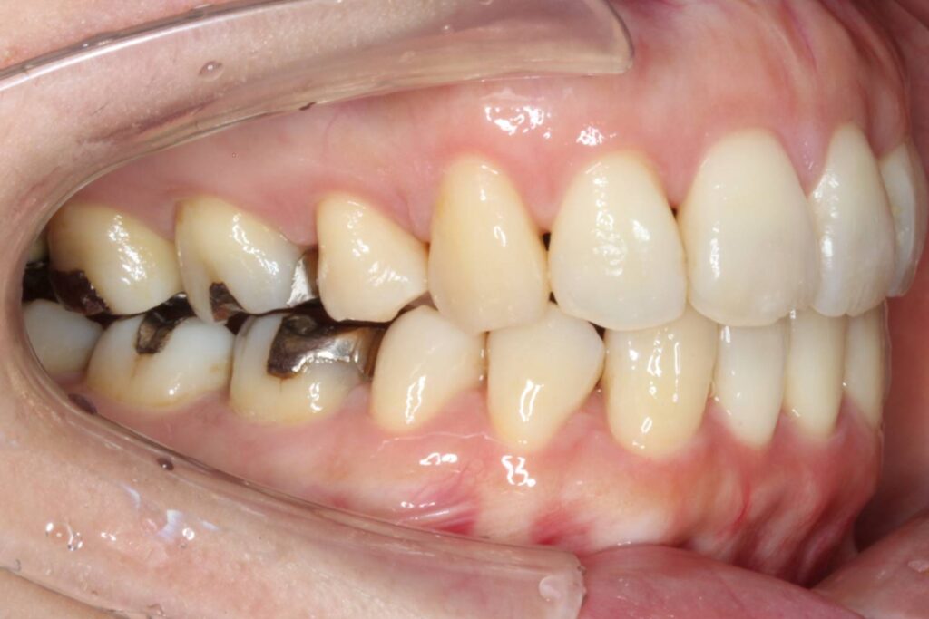
「上顎前突」と言って、上の前歯が突出していることで前歯が噛み合わなくなっています。
また、前歯が上下的に被さっていない「開咬」の状態でもあり、飲み込む際などに舌が歯に接触してしまう「異常嚥下癖」あるいは「舌突出癖」と呼ばれる舌の癖によるものです。
矯正治療と並行して「MFT」といって舌のトレーニングを行わないと、治療後に開咬が再発してしまいます。
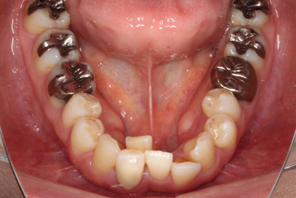
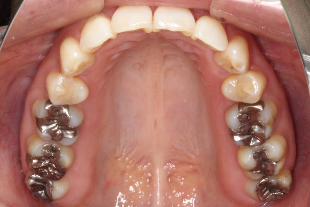
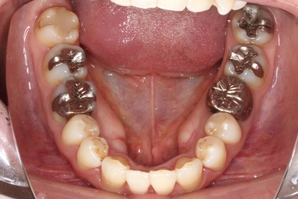
下の前歯は著しく重なっており、特に右下の1番、2番は歯根の状態が悪く保存が困難な状況でした。
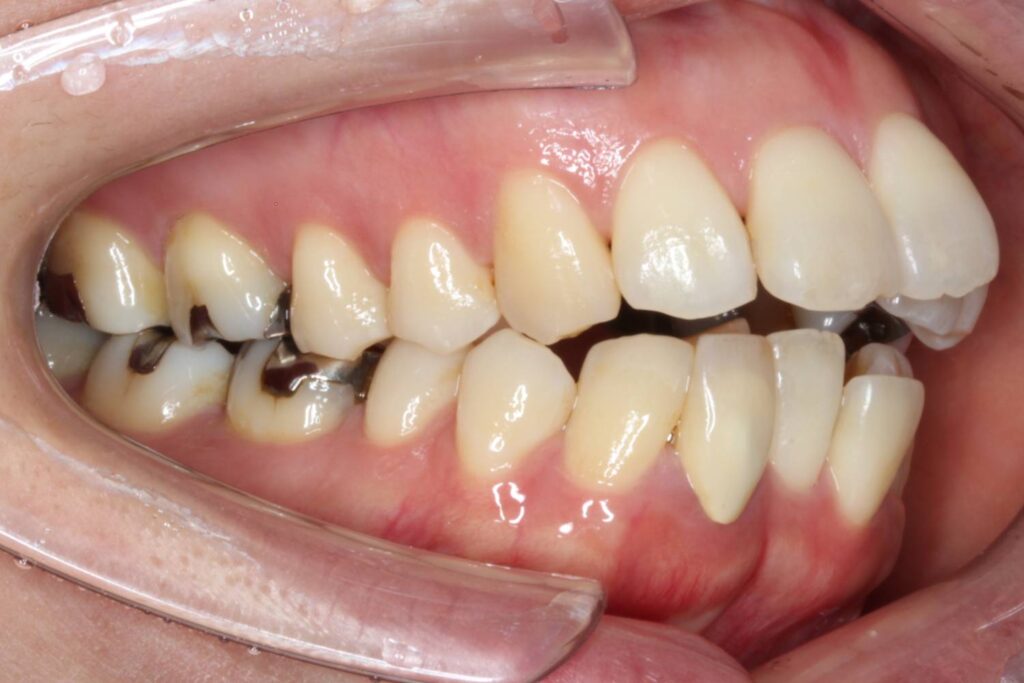
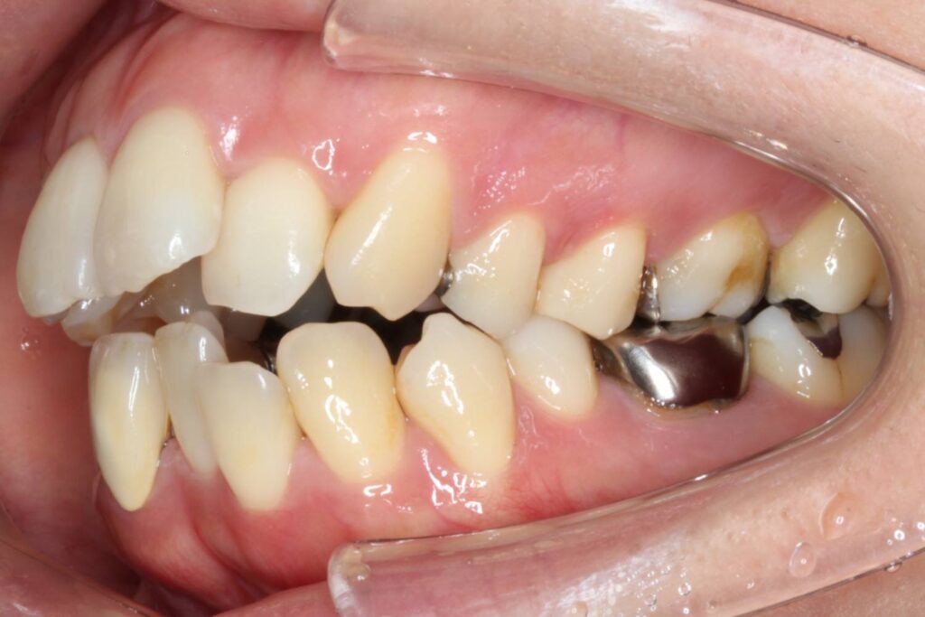
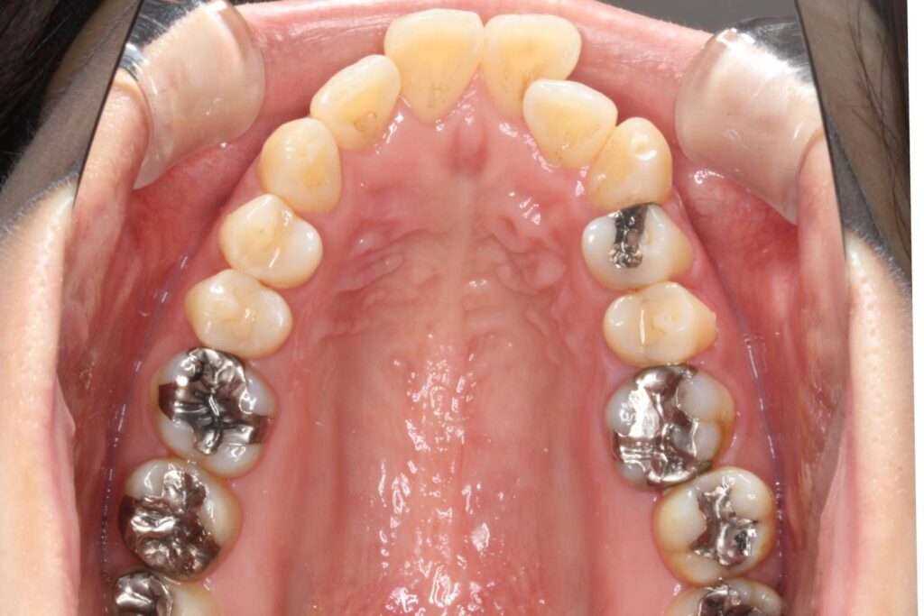
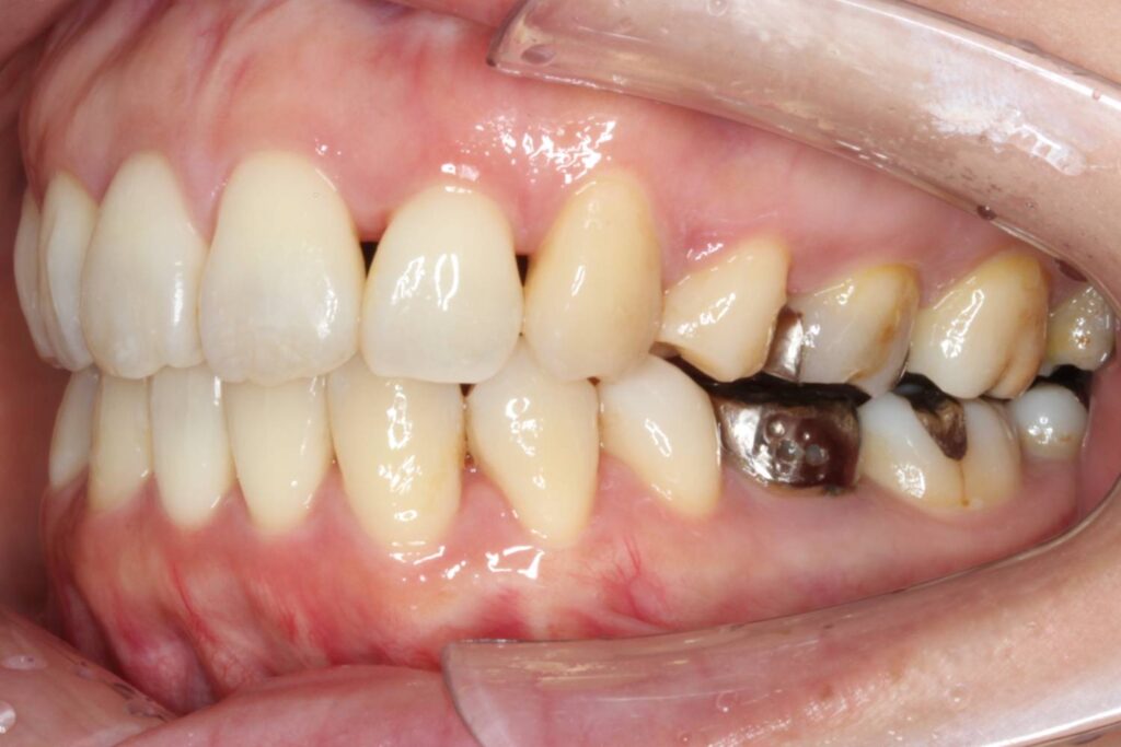
治療はインビザラインにて行い、上顎両側4番、下顎右側1、2番を抜歯しました。
治療期間は22ヶ月という大変短い期間で終了することができました。
Before






After






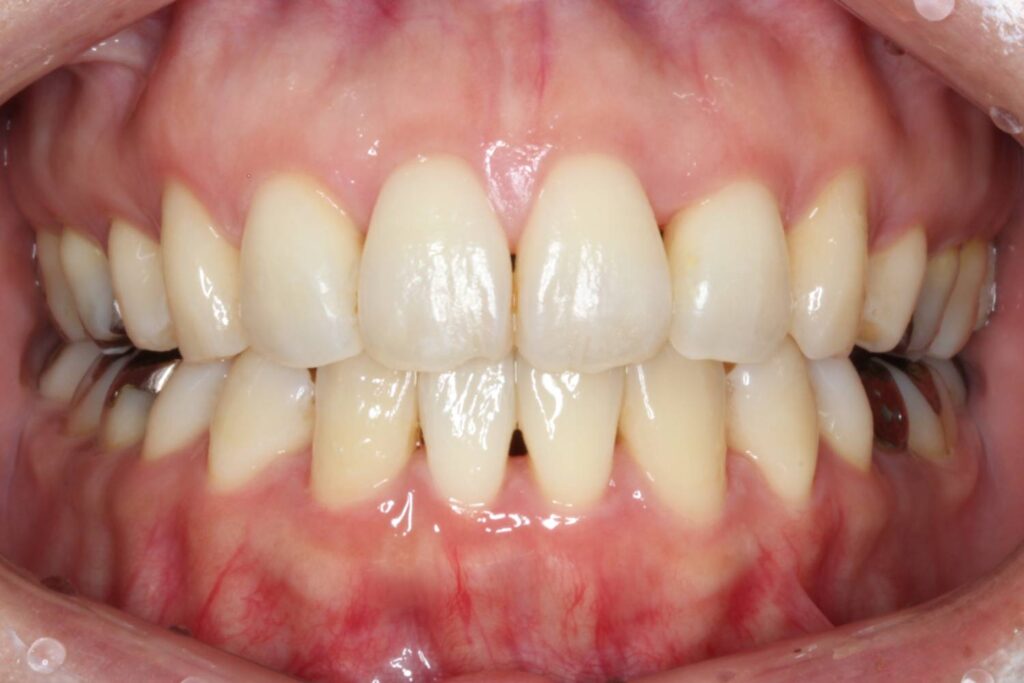
治療後は治療前の問題点が解消され、前歯がきれいに噛み合うことで機能的で美しい歯並びとなり大変喜んでいただけました。
下顎の前歯が2本の、two incisorsという仕上げですが、違和感なく治っており、噛み合わせ上も問題ありません。
矯正治療をお考えの方は、静岡市のブライフ矯正歯科へご相談ください。
| 治療の概要
主訴:上の前歯が出ていること、前歯でものが噛み切れない |
| 矯正歯科治療は公的健康保険適用外の自費(自由)診療です。 一般的な治療期間:2年から3年、一般的な通院回数:20回~30回 矯正歯科治療の一般的なリスクと副作用:・痛み ・口腔内不潔域の拡大と自浄作用の低下・歯根への影響(歯根の短小、歯の失活、歯肉退縮、歯根露出、失活歯の歯根破折)・顎関節症状・後戻り·加齢による変化・骨癒着 |
