こんにちは。静岡市葵区呉服町の矯正歯科、ブライフ矯正歯科・院長の平塚です。
今回は、癒合歯について解説したいと思います。癒合歯という言葉はご存知でしょうか?
お子様が、歯科健診や歯医者さんで「癒合歯がありますね」と言われた方もいらっしゃるかと思います。
癒合歯の特徴や、注意点などについて説明していきたいと思います。
癒合歯とは
簡単に言うと、2つ以上の歯が癒合したものを癒合歯と言います。

乳歯で認められることが多く、下の乳中切歯(A)と乳側切歯(B)か、下の乳側切歯(B)と乳犬歯(C)が癒合するケースが多いです。
次に多いのが、上の乳中切歯(A)と乳側切歯(B)です。
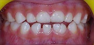
上の写真は、左下の乳中切歯(A)と乳側切歯(B)が癒合している画像です。
乳歯に起こる癒合歯の場合は、同じ部位の生え変わるはずの永久歯が欠損しているケースも非常に多くみられます。
また、永久歯や奥歯でも、まれに癒合歯になることがあります。

永久歯(左下中切歯・側切歯)の癒合歯
癒合歯が発生する原因
顎の骨の中には、やがて歯になる卵のようなものができ、それが最終的に歯の形に成長してお口の中に生えてきます。
その卵を”歯胚”と呼び、歯胚が何らかの原因でお母さんのおなかの中にいるときにくっついてしまうという説が一般的です。
何らかの、と言うことは原因はわかっていないのが現状です。
ただ、生まれてからの環境によるもの(後天的)ではなく、生まれつき(先天的)なものであることは間違いありません。
ですので、もしお子様に癒合歯があったとしても、親御さんには何の責任もありません。
歯のくっつき方による分類
1.癒合歯
2つの歯胚が象牙質という中の部分でくっついているものをいいます。
中で神経がつながっている場合も多くあります。

2.癒着歯
2つの歯胚が歯の根っこのセメント質という部分でくっついているものをいいます。

3.双生歯
もともとは1つだった歯胚が、2つに分かれたものをいいます。

癒合歯の存在が歯並びに与える影響
1.乳歯に癒合歯があり、後に生えてくるはずの永久歯が欠損している場合
乳歯が癒合歯の場合、その生え変わりの永久歯が欠損しているケースが多いです。
その場合、永久歯の本数が少なくなるため”すきっ歯”になってしまったり、左右の本数が違うことから噛み合わせのバランスも悪くなってしまいます。
永久歯が欠損していることがわかった時点で、将来的な問題に対して備えておくことで、矯正治療が楽に行える場合もありますので、お早めに相談するようにしましょう。
2.乳歯に癒合歯があったが、生え変わりの永久歯が存在する場合
永久歯がある場合でも、2本の乳歯がくっついていたことで、生え変わりの永久歯のスペースが不足してしまうことがあります。
その場合、生え変わった時点でガタガタが発生しますので、矯正治療の対象となります。
3.永久歯に癒合歯がある場合
癒合している部分は凹凸があるため、どうしても汚れが溜まりやすく、虫歯や歯周病になるリスクが高くなってしまいます。
乳歯であれば、いずれ抜けてしまいますので大きな問題にはなりませんが、永久歯となると一生使う前提の歯ですので、定期的に歯科医院へ通院してメインテナンスを継続することで虫歯や歯周病を防ぐことが重要になります。
また、矯正治療においては、2本の歯がくっついていることでなかなか歯が動かなかったり、理想的な噛み合わせにならないことが予想されます。
まとめ
癒合歯自体は切断したり抜歯する必要はありません。
しかし、くっついている部分はくびれているので汚れが付着しやすく、虫歯や歯周病になるリスクは高いといえます。
また永久歯が足りない場合ことも多く、矯正治療も視野に入れないといけないこともあります。
永久歯の欠損や、永久歯の癒合歯は表面状はわからないことも多いため、一般的に前歯が永久歯に生え変わる頃(6〜7歳頃)になりましたらレントゲンを撮影して確認してもらうことをおすすめします。
