上顎前突(case 6)
上の前歯が出ている(インビザライン)
当院での治療例紹介です。
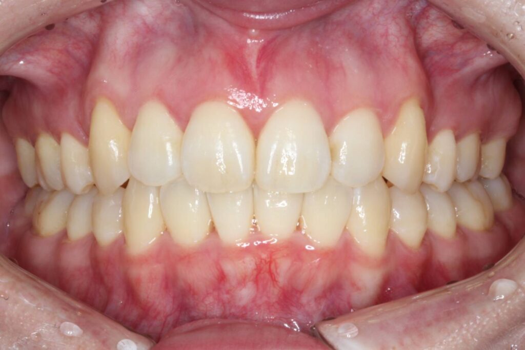
上の前歯が出ていることと、歯のがたつきを治したいということで矯正治療を行いました。
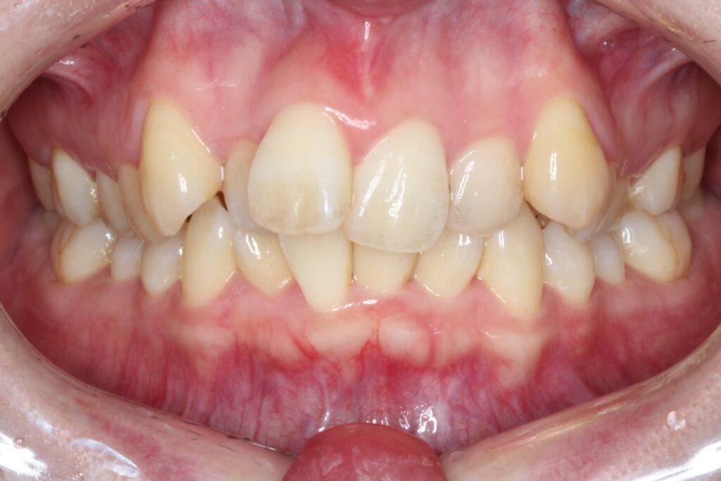
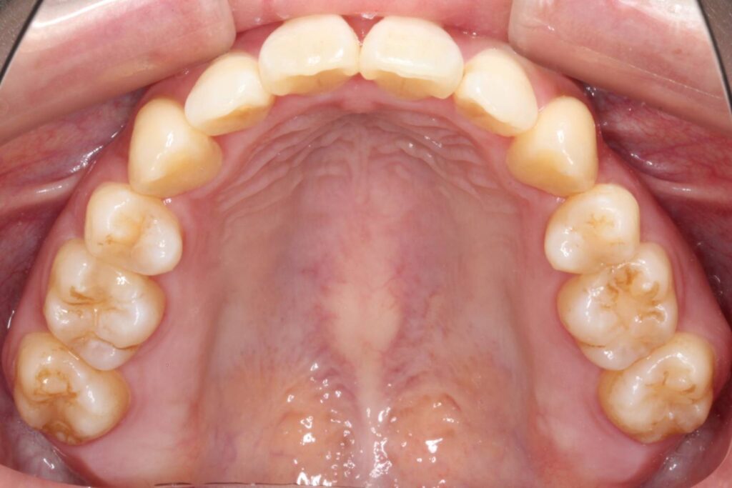
前歯に叢生があり、特に右上の前歯は前方に突出していて目立ってしまっています。
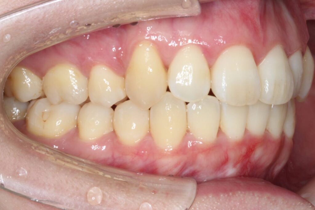
また、上顎の犬歯は「八重歯」と呼ばれる状態で、唇をよく噛んでしまったり、口内炎ができてしまうとのことでした。
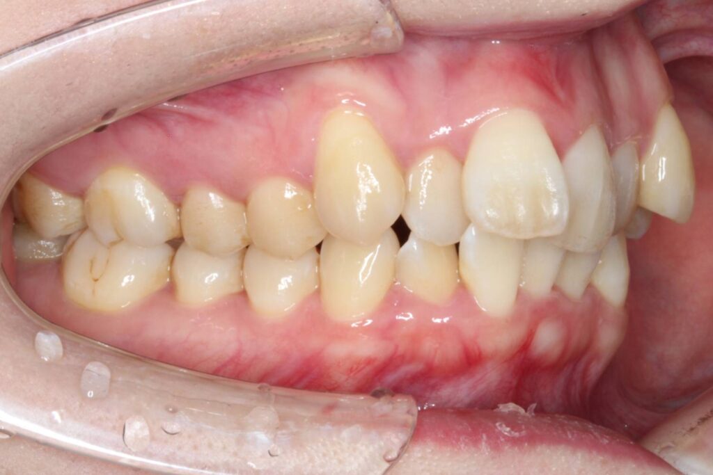
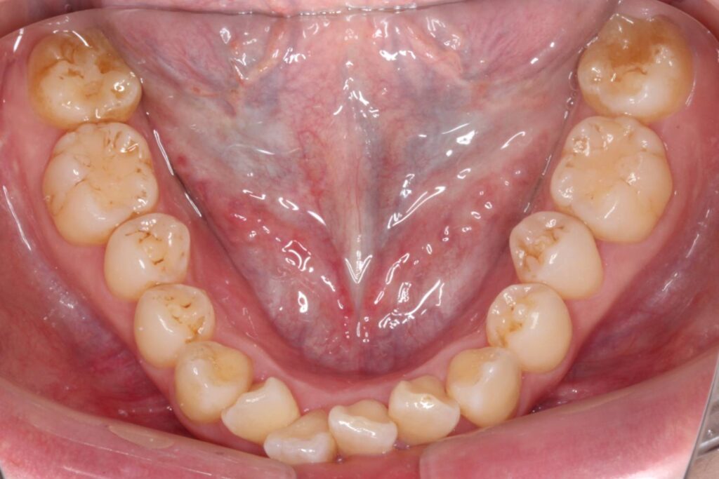
奥歯の噛み合わせは、下顎に対して上顎が前方にずれてしまっています。
治療はインビザラインにて行いました。
噛み合わせが大きくずれていることから、上顎両側4番を抜歯させていただきました。
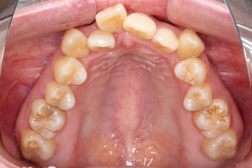
下顎は非抜歯で、IPRと言って歯と歯の間をわずかに削る処置を行うことで歯が並ぶスペースを確保しています。
治療期間は23ヶ月でした。
Before







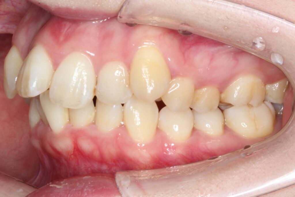
After







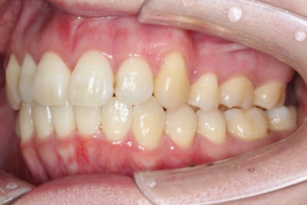
治療後は上顎の前歯が引っ込み、歯のがたつきも改善しています。
そうすることで、見た目だけではなく、前歯でものが噛み切りやすい機能的な歯並びが達成されました。
上顎の歯のみを抜歯していますが、噛み合わせのバランスには全く問題ありません。
矯正治療をお考えの方は、ブライフ矯正歯科へご相談ください。
| 治療の概要
主訴:上の前歯が出ていることと、歯のがたつきを治したい |
| 矯正歯科治療は公的健康保険適用外の自費(自由)診療です。 一般的な治療期間:2年から3年、一般的な通院回数:20回~30回 矯正歯科治療の一般的なリスクと副作用:・痛み ・口腔内不潔域の拡大と自浄作用の低下・歯根への影響(歯根の短小、歯の失活、歯肉退縮、歯根露出、失活歯の歯根破折)・顎関節症状・後戻り·加齢による変化・骨癒着 |
