空隙歯列(case 3)
前歯のすき間が気になる(インビザライン)
当院での治療例紹介です。
前歯のすき間が気になるということで矯正治療を行いました。
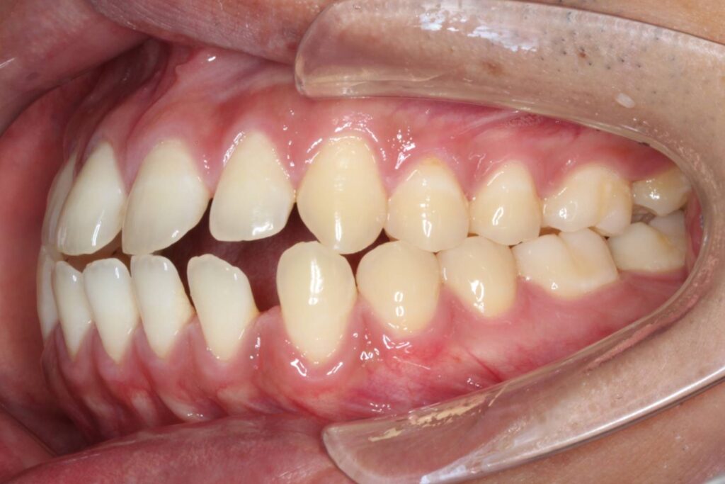
上下の前歯の部分に多くのすき間があり、「空隙歯列」と呼ばれる歯並びの状態です。
空隙歯列は、見た目だけでなく実は歯磨きや発音もしづらい状態、舌によって前歯が押されてしまうことが原因になります。
矯正治療を行うだけでは、術後に舌の力によって後戻りが生じ、再度空隙歯列になってしまうリスクが高井ため、
矯正治療中は継続した舌の動かし方のトレーニングを行う必要があります。
正しい舌の動かし方を習得するトレーニングを「MFT」と言います。
治療はインビザラインにて行い、抜歯はせずに治療しました。
治療期間は15ヶ月という大変短い期間で終了することができました。
Before




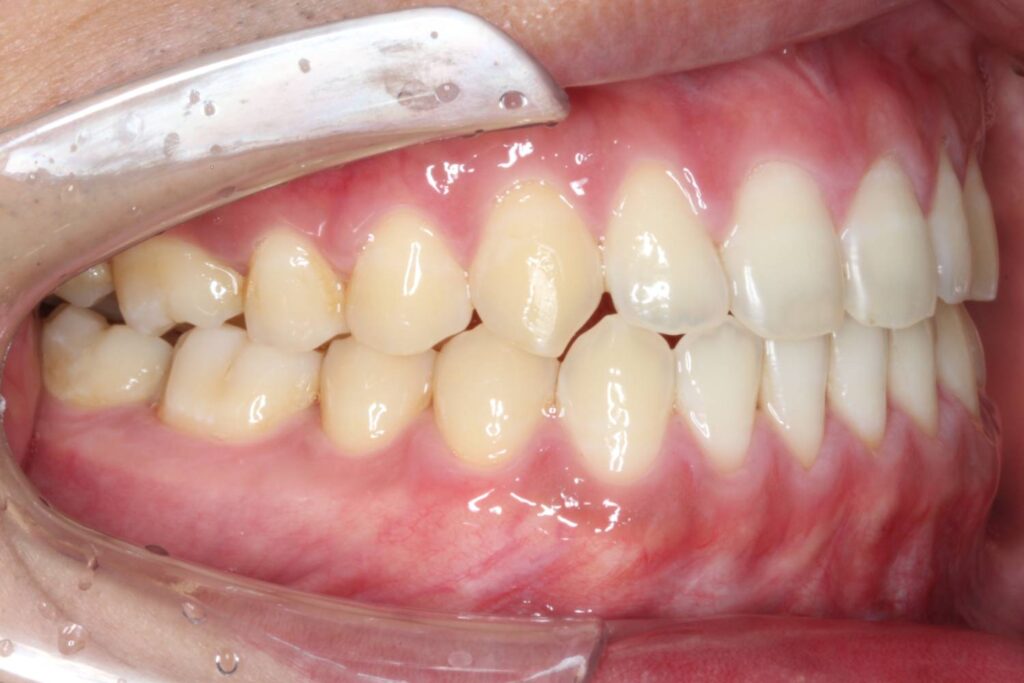
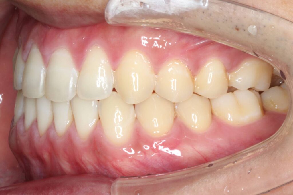
After




治療後は、隙間がきれいに閉鎖され、見た目と機能が両立された歯並びになっています。
治療期間が短かったため、今後もMFTを継続して行っていきます。
矯正治療をお考えの方は、静岡市のブライフ矯正歯科へご相談ください。
| 治療の概要 主訴:前歯のすき間が気になる 診断名:空隙歯列 年齢:25歳 治療に用いた主な装置:マウスピース型矯正装置(インビザライン) 抜歯部位:非抜歯 期間:15ヶ月 費用:総額¥790,000(税込¥869,000) リスク、副作用:歯磨きが不十分な場合には、虫歯や歯肉炎が進行することがあります。 矯正治療中顎の関節に音がする、痛くなる、口が開きにくくなる、といったような症状が出ることがあります。 体質により金属アレルギーを引き起こす事があります。治療後、知覚過敏や痛みなどが出たり、吸収された骨が再生しなくなることがあります。歯肉が退縮して歯が長く見えたり、歯と歯の隙間が広くなったりすることがあります。 (未承認医薬機器の使用について) 当院で使用しているマウスピース型矯正装置(インビザライン)は米国アライン・テクノロジー社の製品であり、インビザライン・ジャパン社を介して入手しております。インビザラインは日本の医薬品医療機器等法(薬機法)の承認を受けていません。薬機法の対象外となるため、医薬品副作用被害者救済制度の対象とならない場合があります。 |
| 矯正歯科治療は公的健康保険適用外の自費(自由)診療です。 一般的な治療期間:2年から3年、一般的な通院回数:20回~30回 矯正歯科治療の一般的なリスクと副作用:・痛み ・口腔内不潔域の拡大と自浄作用の低下・歯根への影響(歯根の短小、歯の失活、歯肉退縮、歯根露出、失活歯の歯根破折)・顎関節症状・後戻り·加齢による変化・骨癒着 |
