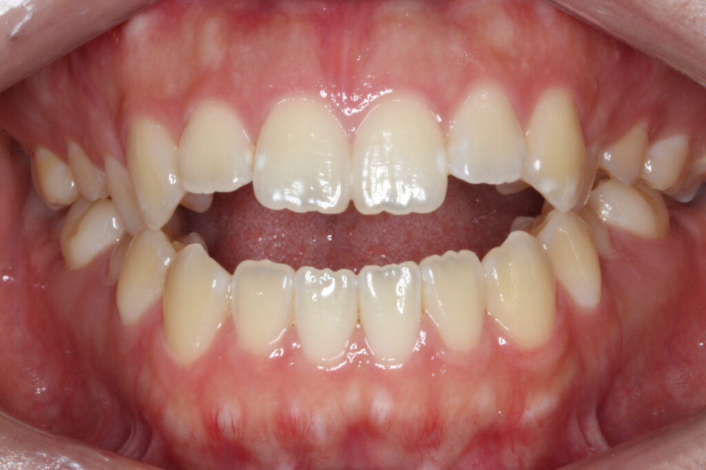
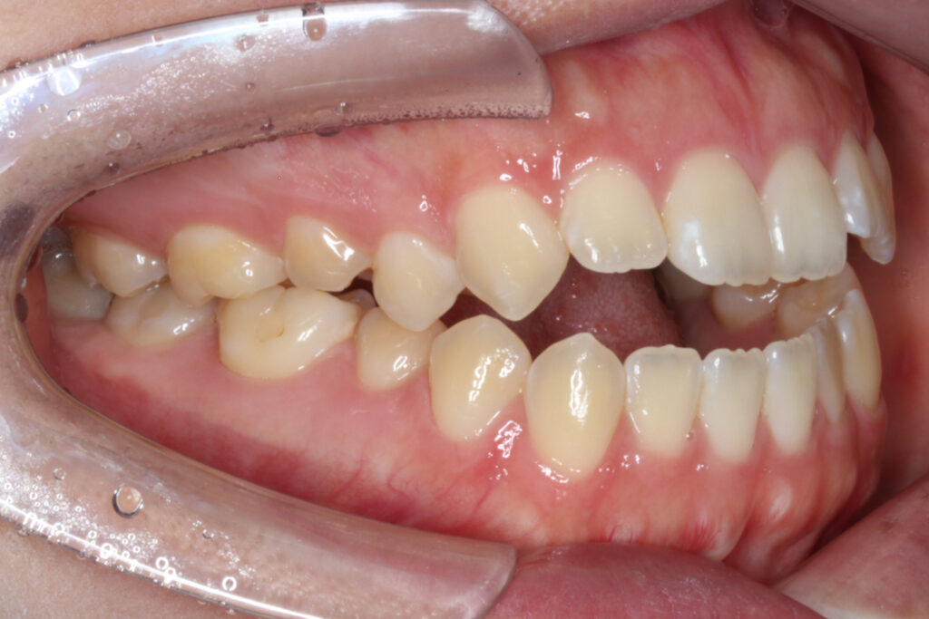
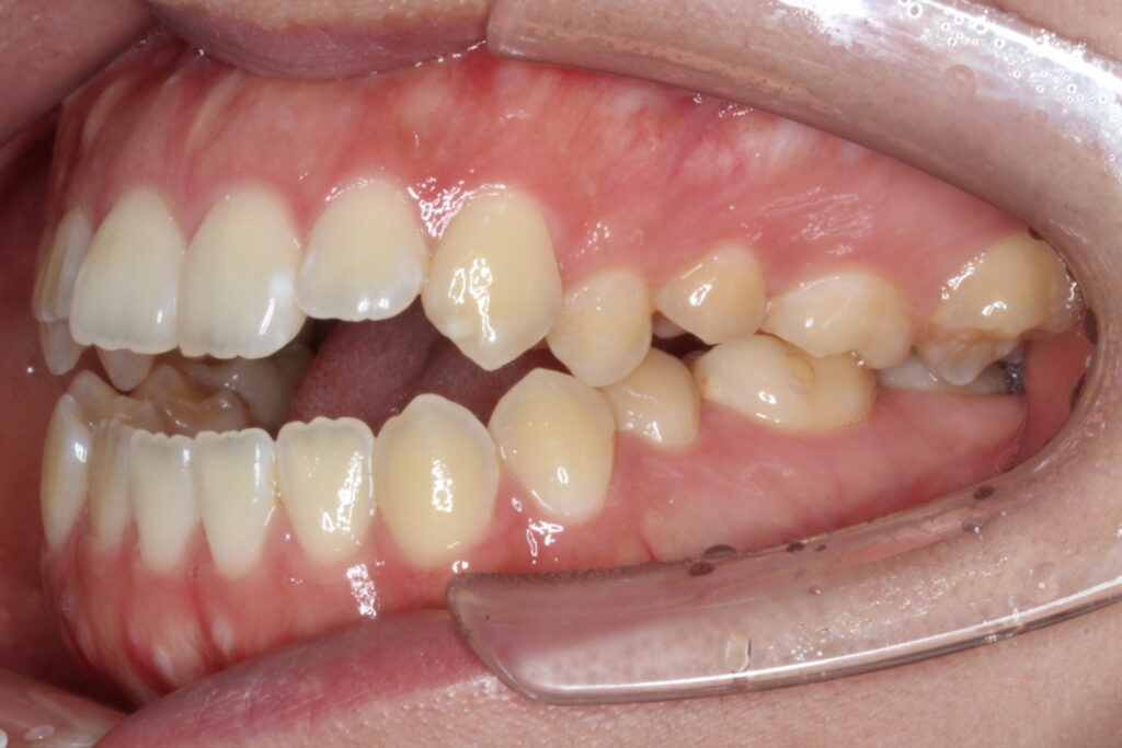
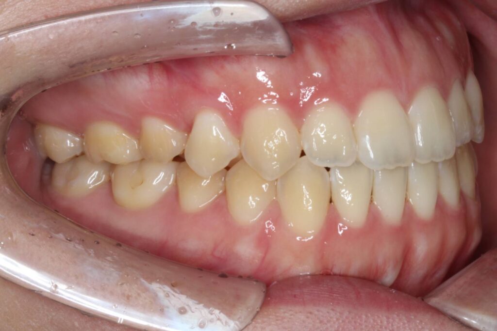
開咬(case 5)
滑舌が悪い、前歯でものが噛めない(インビザライン)
当院での治療例紹介です。
滑舌が悪いことと、前歯でものが噛めないとのことで矯正治療を行いました。
噛み合わせた際、上下顎の前歯が垂直的に被さらず空間ができている、「開咬」という歯並びの状態になっています。
下顎の骨格がやや前方へ位置しているため手術を併用した顎変形症としての治療も想定される噛み合わせの状態でしたが、
手術を行わずに矯正治療単独での治療を希望されました。
開咬の状態では、食事がしづらいだけではなく、滑舌にも大きく影響するため矯正治療が推奨されます。
また、噛む力が奥歯に集中してしまうことから、歯が割れるなどで奥歯を失うリスクも高いと言われています。
開咬の主な原因は、飲み込む際などに舌が歯に接触してしまう「異常嚥下癖」あるいは「舌突出癖」と呼ばれる舌の癖によるものです。
矯正治療と並行して「MFT」といって舌のトレーニングを行わないと、治療後に開咬が再発してしまいます。
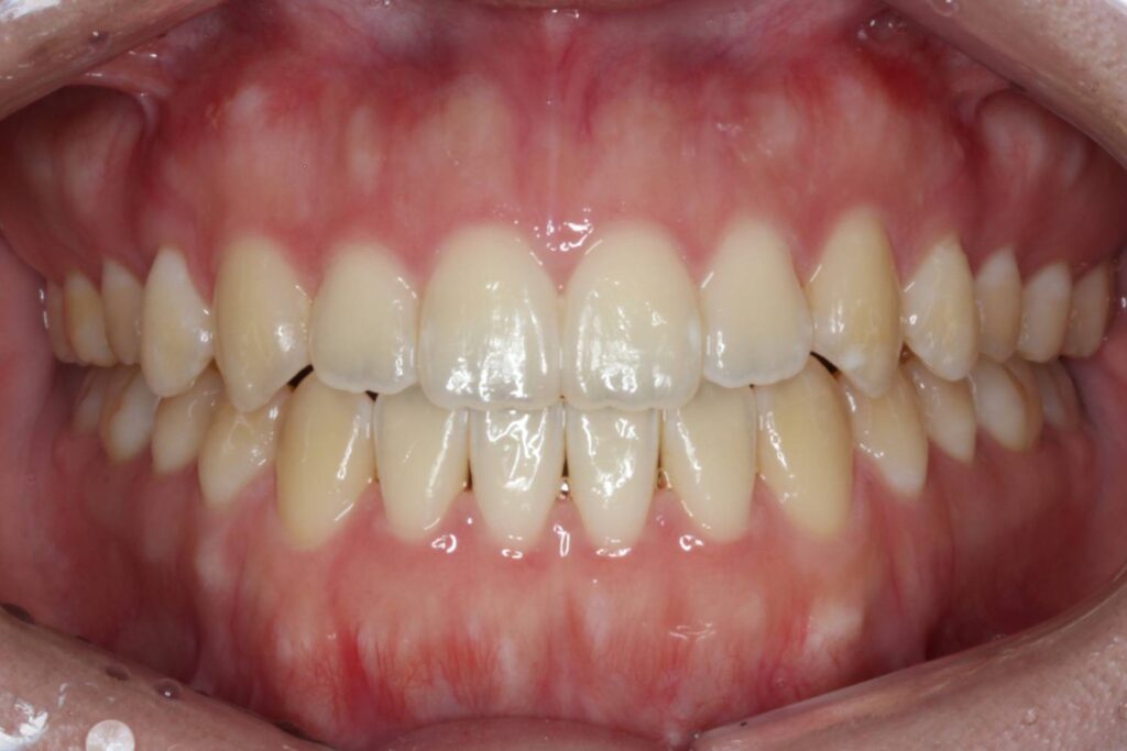
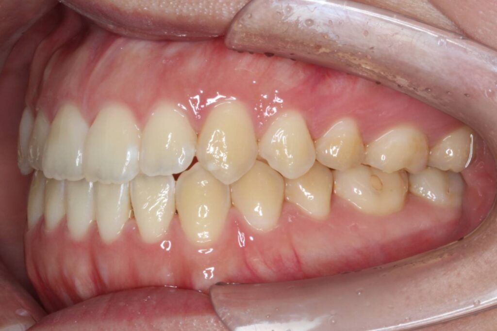
治療はインビザラインにて行い、難症例ではありましたが治療期間は26ヶ月という短い期間で終了することができました。
Before




After




インビザラインは臼歯を「圧下」させることによって前歯を伸び出させずに開咬を治せるため、開咬に適した装置と言えます。
治療後は前歯もしっかりと噛み合うことで、機能的な歯並びを獲得することができました。
矯正治療をお考えの方は、ブライフ矯正歯科へご相談ください。
| 治療の概要
主訴:滑舌が悪い、前歯でものが噛めない |
| 矯正歯科治療は公的健康保険適用外の自費(自由)診療です。 一般的な治療期間:2年から3年、一般的な通院回数:20回~30回 矯正歯科治療の一般的なリスクと副作用:・痛み ・口腔内不潔域の拡大と自浄作用の低下・歯根への影響(歯根の短小、歯の失活、歯肉退縮、歯根露出、失活歯の歯根破折)・顎関節症状・後戻り·加齢による変化・骨癒着 |
