上下顎前突(case 3)
口元が突出していて口が閉じづらい(ワイヤー矯正)
当院での治療例紹介です。
口元が突出していて口が閉じづらい、ということで矯正治療を行いました。
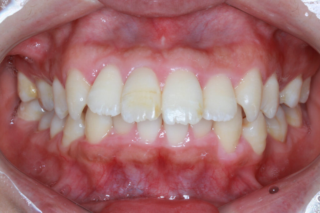
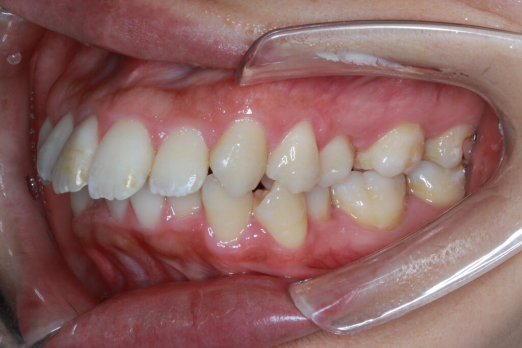
上顎の前歯が著しく前方へ傾斜し、それに伴い口が閉じづらい状態となっています。
また、上下の歯ならびにがたつきがあります。
治療はワイヤー矯正(マルチブラケット装置)にて行い、
前歯を後退させるスペースを確保するため上下顎両側5番を抜歯させていただきました。
また、アンカースクリューを上顎の両側に使用し、前歯の移動を補助しています。
治療期間は3年でした。
Before





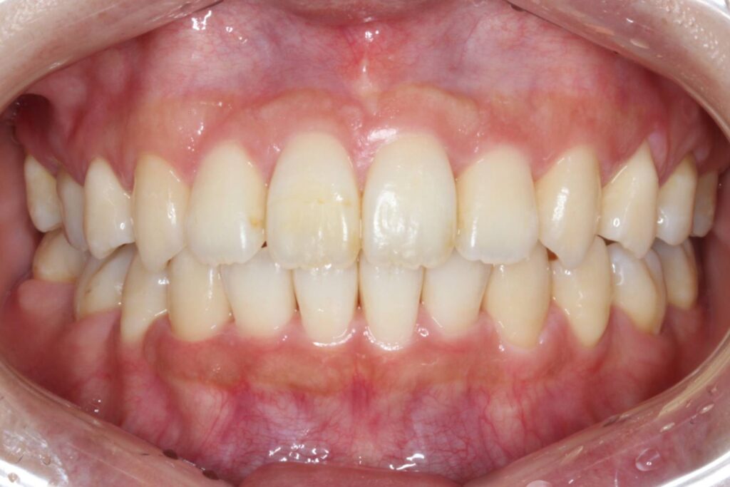
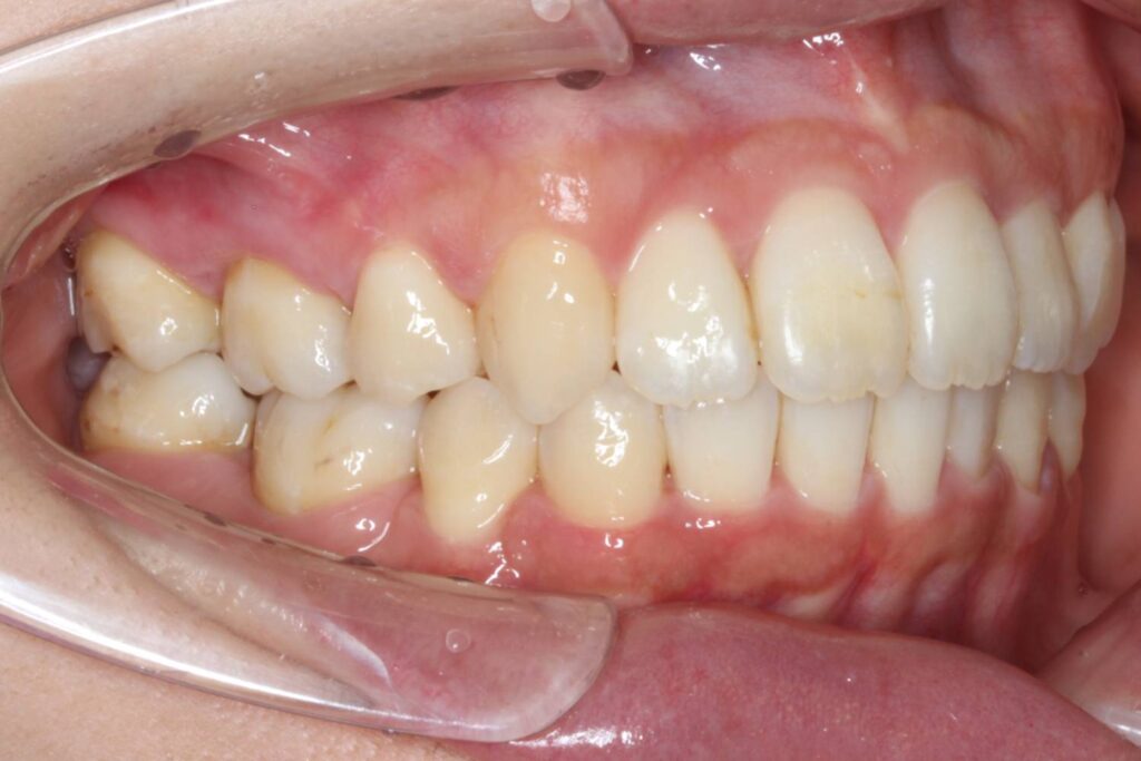
After





治療後は見た目と機能が両立した良好な歯並びとなり、満足していただけました。
横顔の印象も口元が後退してスッキリした良いプロファイルとなりました。
矯正治療をお考えの方は、静岡市のブライフ矯正歯科へご相談ください。
| 治療の概要
主訴:口元の突出感を改善したい |
| 矯正歯科治療は公的健康保険適用外の自費(自由)診療です。 一般的な治療期間:2年から3年、一般的な通院回数:20回~30回 矯正歯科治療の一般的なリスクと副作用:・痛み ・口腔内不潔域の拡大と自浄作用の低下・歯根への影響(歯根の短小、歯の失活、歯肉退縮、歯根露出、失活歯の歯根破折)・顎関節症状・後戻り·加齢による変化・骨癒着 |
