叢生(case 11)
でこぼこの前歯を治したい(インビザライン)
当院での治療例紹介です。
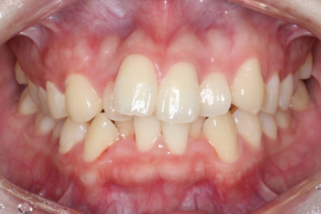
でこぼことの前歯を治したいということで矯正治療を行いました。
上下顎の前歯に叢生があり、見た目が気になることに加えて、
歯磨きがしづらいことにより虫歯や歯周病になるリスクが高くなってしまっています。
また、横顔のプロファイルはE-lineに対して口元が突出していることから、
叢生を改善しつつ、前歯を後方へ引っ込めていく方針となりました。
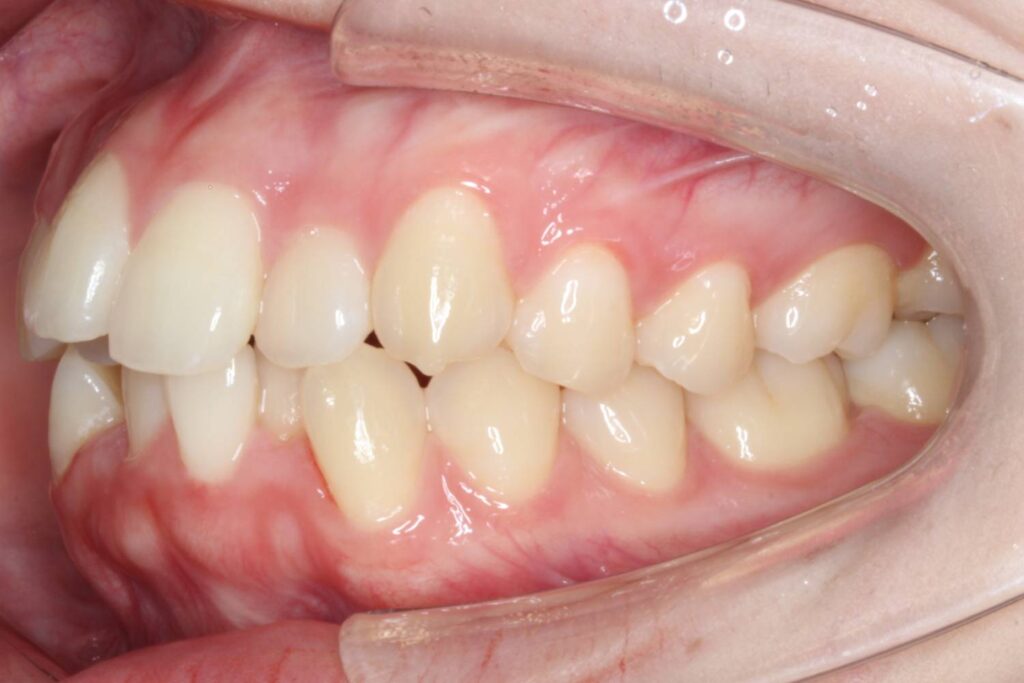
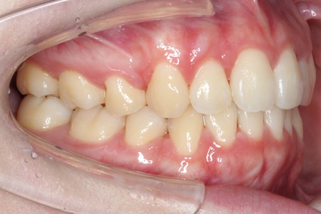
治療はインビザラインにて行い、上下顎両側4番を抜歯しました。
治療期間は20ヶ月という大変短い期間で終了することができました。
Before





After





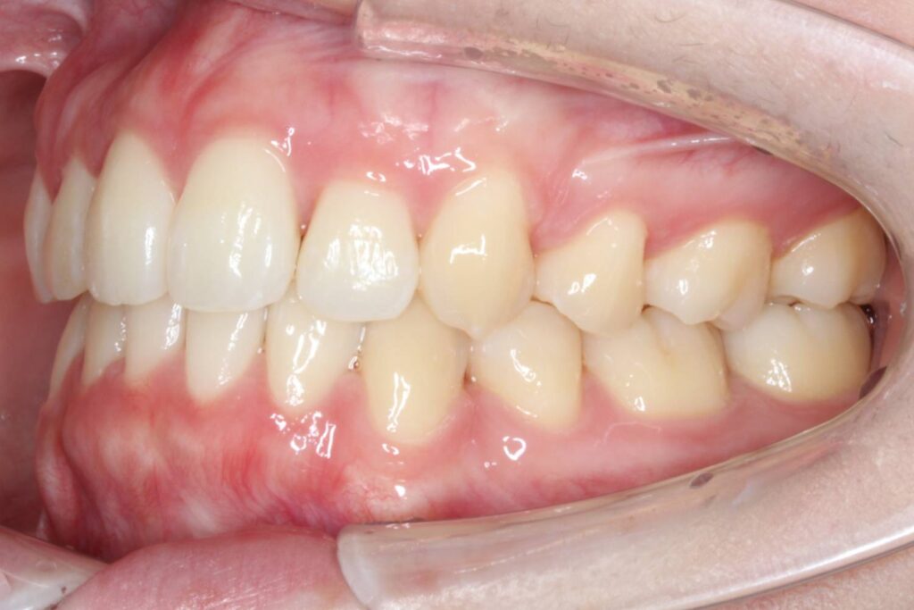
上下顎で合わせて4本抜歯したわけですが、治療後の歯並び、噛み合わせに問題はありません。
前歯が綺麗に並び、かつ後方へ引っ込んだことで口元の印象が改善しています。
「抜歯を伴う矯正治療はマウスピース矯正だと出来ないだろう」と諦めている方もいらっしゃいますが、
決してそのようなことはなく、抜歯が必要であってもマウスピース矯正を行うことができます。
さらには、ワイヤー矯正よりも早く終了することができます。
矯正治療をお考えの方は、ブライフ矯正歯科へご相談ください。
| 治療の概要
主訴:でこぼこの前歯を治したい |
| 矯正歯科治療は公的健康保険適用外の自費(自由)診療です。 一般的な治療期間:2年から3年、一般的な通院回数:20回~30回 矯正歯科治療の一般的なリスクと副作用:・痛み ・口腔内不潔域の拡大と自浄作用の低下・歯根への影響(歯根の短小、歯の失活、歯肉退縮、歯根露出、失活歯の歯根破折)・顎関節症状・後戻り·加齢による変化・骨癒着 |
